Simptomatologia în cancerul bronhopulmonar (cbp)
Cuprins articol [hide]
În România, 75% din persoanele care sunt diagnosticate cu cancer bronhopulmonar (CBP) sunt în stadii foarte avansate ale bolii, inoperabili și pot primi doar tratament cu viză paliativă. Boala apare mai frecvent după vârsta de 50 de ani, cu o simptomatologie discretă, inițial, iar mulți fumători o pun pe seama tabagismului sau a altor probleme mai puțin grave, ceea ce face ca vizita la medic să fie amânată. Șansele de supraviețuire ale unui pacient oncologic în România sunt reduse, la circa 10%, în schimb cele din Norvegia sunt de 20% ca urmare a unor programe de educare continuă a populației.
Profilul unui pacient cu CBP român este următorul:
- 85% sunt fumători cronici;
- Apare preponderent la sexul masculin, însă incidența în ceea ce privește sexul feminin este în creștere;
- 50% dintre pacienți au vârste cuprinse între 45 și 65 ani;
- Educația medicală precară determină pacienții să solicite consultul medical în stadii avansate de boală;
- Sub 5% sunt descoperiți întâmplător, la controale de rutină;
- În momentul diagnosticului numai 25% sunt operabili;
- Fără tratament, majoritatea pacientilor ajung la deces în primul an de la diagnostic.
Cancerul pulmonar nu determină simptome ușor observabile de pacienți, decât în stadii avansate ca urmare a lipsei de terminații nervoase dureroase la nivelul parenchimului pulmonar.
Simptome comune |
Simptome atipice |
|
|
Simptomatologia în CBP se împarte în 3 categorii:
- Simptome date de formațiunea tumorală:
| TUSE – 55% dintre pacienți | |
| O tuse nou apărută sau modificarea caracterului tusei la un pacient cunoscut cu boală pulmonară obstructivă cronică ridică suspiciunea de CBP. De cele mai multe ori, pacienții fumători ignoră acest simptom considerând că este firesc să aibă tuse cronică. De cele mai multe ori discutăm despre o tuse seacă, persistentă și non-resposivă la tratament. | |
| DISPNEEA – 45% dintre pacienți | |
| Oboseala poate fi determinată de prezența unei formațiuni tumorale care obstruează căile aeriene, prezența de lichid în spațiul pleural (revărsat pleural) sau în pericard (foița care acoperă inima) purtând denumirea de pericardită, prezența a numeroși micronoduli și noduli distribuiți aleatori în ambele campuri pulmonare care ar putea să ridice suspiciunea unei carcinomatoze pulmonare și nu în ultimul rând prezența unei pneumonii retrostenotice sau atelectazii [căile respiratorii sau saculeții cu aer (alveolele) nu se mai pot dilata]. Pentru evaluarea dispneei se utilizeză scala Borg și mMRC. | |
| HEMOPTIZIE | |
| Eliminarea prin tuse a unei cantități de sânge cu originea în etajul subglotic al aparatului respirator. Este vorba de sânge proaspăt, aerat, de culoare roșu aprins, gust sărat, metalic, însoțit de o jenă retrosternală. Poate fi o cantitate minimă, moderată sau masivă / cataclismică cu risc de asfixie și deces. Aceasta poate să fie persistentă sau recurentă. | |
| Hemoptizia apărută la un pacient fumător, în cazul unei radiografii pulmonare normale impune realizarea bronhoscopiei. | 15 – 30% dintre pacienți se prezintă cu hemoptizii la momentul diagnosticării CBP. |
| DURERI TORACICE – 20 – 40% dintre pacienți | |
| Este descrisă de pacient ca o durere surdă, care rămâne la nivelul aceleași regiuni și persistentă. Poate să fie dată de invazia peretelui toracic sau invazia mediastinului. De obicei apare pe aceeași parte ca și afectarea tumorală. Diagnostic diferențial obligatoriu cu embolia pulmonară. Paralizia unilaterală de diafragm este dată de invazia nervului frenic. | |
| WHEEZING – șuierat ce semnifică obstrucție la nivelul căilor aeriene. | |
| STRIDOR – sunet aspru cauzat de obstrucția parțială sau compresia traheei și/sau a bronhiilor mari. | |
| SCĂDERE ÎN GREUTATE – 36% dintre pacienți, factor de prognostic negativ. | |
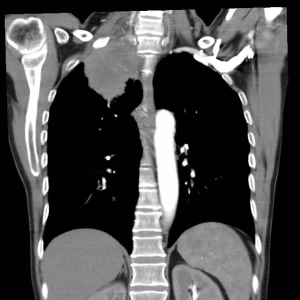
- Simptome date de diseminarea intratoracică: revărsat pleural, revărsat pericardic, chilotorax (prezența de lichid pleural ca urmare a unei obstrucții la nivelul canalului limfatic), disfonie (compresiunea/invazia nervului laringeu recurent), disfagie (compresiunea/invazia esofagului), sindrom de venă cavă superioară (cefalee, edem în pelerină, venectazii și cianoză), sindromul Claude – Bernard – Horner (ptoza palpebrală, enoftalmie, mioză) și tumora Pancoast – Tobias (prezența unei formațiuni tumorale care erodează arcul costal și invadează plexul brahial de aceeași parte – homolateral, cu apariția unui sindrom algic și atrofierea musculaturii membrului superior).
![]() |
![]() |
![]() |
| Sindrom de venă cavă superioară | Sindrom Claude – Bernard – Horner | Tumora Pancoast – Tobias (reprezentare imagistică) |
- Simptome determinate de prezența metastazelor, în funcție de localizare, la nivelul glandelor suprarenale, ficat, creier și sistem osos.
| METASTAZE OSOASE |
| Sunt simptomatice – dureri sau apariția unor fracturi pe os patologic. Orice os poate să fie implicat, însă cu predilecție vertebrele, coastele și oasele centurii pelvine. |
| METASTAZE GLANDE SUPRARENALE |
| De obicei asimptomatice, însă sunt prezente în proporție de 40% dintre pacienți diagnosticați cu CBP. |
| METASTAZE CEREBRALE |
| Se manifestă prin: cefalee, vomă, hemianopsie, hemipareză, convulsii și modificări de personalitate. |
| METASTAZE HEPATICE |
| Se manifestă prin fatigabilitate, scădere ponderală și astenie. Prezența lor denotă un stadiu avansat de boală. |
Sindroamele paraneoplazice
Sunt determinări nonmetastatice ale cancerului. Se caracterizează prin secreția de către tumoră a unor hormoni, peptide și pot precede cu câteva luni decelarea tumorii. Dispar după tratament și reapar în caz de recidivă. Acestea au o anumită frecvență în funcție de tipul histopatologic al fomațiunii tumorale.
| ENDOCRINE |
| Ginecomastie, hipercalcemie – se manifestă prin greață, vărsături, poliurie, polidipsie, anorexie și astenie, sindrom Cushing – secreție inadecvată de ACTH, SIADH – secreție inadecvată de ADH cu hiponatriemie severă. |
| HEMATOLOGIE |
| Tromboflebită migratorie, tulburări de coagulare (tromboflebită superficială, tromboză venoasă profundă, trombembolism, coagulare intravasculară diseminată), anemie, leucocitoză, trombocitoză, eozinofilie. |
| CUTANATE și MUSCULOSCHELETALE |
| Osteoartropatie hipertrofică, acanthosis nigricans, dermatomiozită asociată cu slăbiciune musculară în centură. |
| NEUROLOGICE |
| Neuropatie senzitivă subacută, retinopatie, sindrom cerebelos, miopatie proximală, polimiozită, sindrom Eaton – Lambert care se manifestă prin astenie musculară la nivelul centurilor membrelor. |
| RENALE |
| Glomerulonefrită, sindrom nefrotic. |
| Altele: anorexie, scădere ponderală, cașexie. |
MESAJE PENTRU ACASĂ:
- Focus pe medicina preventivă, elaborarea de programare de informare a populației legate de efectele nocive ale fumatului, precum și măsuri de prevenție al CBP;
- Mortalitatea precoce în creștere.
BIBLIOGRAFIE:
- Sung H, Ferlay J, Siegel RL, Laversanne M, Soerjomataram I, Jemal A, Bray F. Global Cancer Statistics 2020: GLOBOCAN Estimates of Incidence and Mortality Worldwide for 36 Cancers in 185 Countries. CA Cancer J Clin. 2021 May;71(3):209-249.
- Hyde L, Hyde CI. Clinical manifestations of lung cancer. Chest. 1974 Mar;65(3):299-306.
- Hirshberg B, Biran I, Glazer M, Kramer MR. Hemoptysis: etiology, evaluation, and outcome in a tertiary referral hospital. Chest. 1997 Aug;112(2):440-4.
- Athey VL, Walters SJ, Rogers TK. Symptoms at lung cancer diagnosis are associated with major differences in prognosis. Thorax. 2018 Dec;73(12):1177-1181.
- Eren S, Karaman A, Okur A. The superior vena cava syndrome caused by malignant disease. Imaging with multi-detector row CT. Eur J Radiol. 2006 Jul;59(1):93-103.
- Hiraki A, Ueoka H, Takata I, Gemba K, Bessho A, Segawa Y, Kiura K, Eguchi K, Yoneda T, Tanimoto M, Harada M. Hypercalcemia-leukocytosis syndrome associated with lung cancer. Lung Cancer. 2004 Mar;43(3):301-7.
- List AF, Hainsworth JD, Davis BW, Hande KR, Greco FA, Johnson DH. The syndrome of inappropriate secretion of antidiuretic hormone (SIADH) in small-cell lung cancer. J Clin Oncol. 1986 Aug;4(8):1191-8.
- Sub redacția Cristian Oancea, Ovidiu Fira – Mlădinescu, Voicu Tudorache, Tratat de Pneumologie pentru medicii rezidenți, Timișoara, editura Victor Babeș, 2021.
- Ariadna Petronela Filda, Ruxandra Ulmeanu, Florin Dumitru Mihaltan, Roxana Maria Nemes, Cancerul bronhopulmonar – recomadari de diagnostic și tratament, elaborat sub egida Socoetatii Romane de Pneumologie, Constanta, editura Muntenia, 2023.
- Sub redacția Miron Alexandru Bogdan, Pneumologie, București, editura universitară Carol Davila, 2008.




